Cortland Office: (607) 753-3535 | Ithaca Office: (607) 319-5061
Home
Our Team
Office
First Visit
Financial & Insurance
Latest Technology
Treatment
Early Treatment
Adult Treatment
Invisalign
Types of Braces
Orthoganthic Surgery
Gallery
Contact
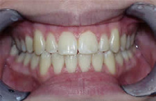
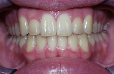
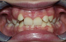
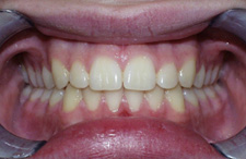
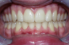
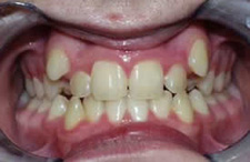
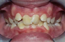
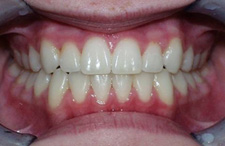
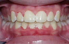
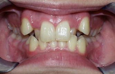
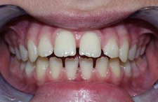
Before & After
Slide the middle bar left or right to see the changes!
Menu